Paciente: Femenino, 11 años.
Motivo de consulta: Retraso en la erupción de ambos caninos.
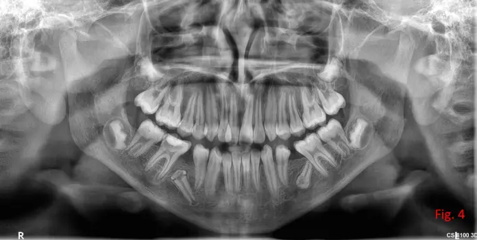
Estudio solicitado: Radiografía panorámica inicial.
Durante la práctica se observa la presencia de ambos caninos inferiores retenidos. (RX panorámica)
Ante este hallazgo, la profesional tratante solicita la realización de una tomografía Cone Beam del maxilar inferior completo, con el objetivo de obtener mayor información sobre la posición tridimensional de las piezas retenidas.
En la reconstrucción tomográfica se evidencia (Fig.1):
- Pieza 45 (Fig. 2) (Fig. 2B): retenida, con posición distoangular.
- Pieza 35 (Fig. 3) (Fig. 3B): retenida, con orientación en retroversión hacia la base mandibular.
Ambas piezas presentan adaptaciones morfológicas compatibles con modificaciones ocurridas durante la odontogénesis, probablemente condicionadas por el espacio óseo disponible y las presiones locales. (Fig. 4)
Estas adaptaciones no representan deformaciones patológicas, sino ajustes estructurales del germen dentario frente a un entorno mecánico restrictivo.
COMENTARIOS:
1. Adaptación morfológica de una pieza dental retenida
Se refiere a pequeñas variaciones en la forma o disposición de la corona y/o las raíces que ocurren durante el desarrollo del diente como respuesta a:
- Restricciones de espacio dentro del hueso,
- Presiones del hueso cortical o de dientes vecinos,
- o trayectorias eruptivas anómalas.
Estas adaptaciones no son “deformaciones patológicas”, sino ajustes estructurales del germen dentario en crecimiento frente a un entorno mecánico desfavorable.
2. Qué tipo de cambios se observan en dientes retenidos
Los dientes retenidos (sobre todo los terceros molares y caninos) pueden presentar:
· Variaciones de forma radicular (curvaturas, raíces fusionadas o divergentes)
· Cámaras pulpares reducidas o asimétricas
· Reabsorción externa o interna si hay presión prolongada contra raíces adyacentes
· Alteración en el patrón de erupción o desviación del eje
3. Lo que NO ocurre
El diente no se “deforma” plásticamente por presión ósea como un material blando.
El esmalte y la dentina ya mineralizados son rígidos e inertes: una vez formados, no cambian su forma.
Solo durante las etapas iniciales del desarrollo (antes de completarse la calcificación) puede haber modificación morfológica por fuerzas o restricciones del entorno.
Colaboracion: Tec. Radiólogo Flores Alegre Alexander.





